Biomedical Research at Driv

For a number of diseases that affect women more than men, there is a significant need for knowledge about causes and mechanisms. The center aims to strengthen laboratory-based biomedical research on gender-related factors and connections in biological data, as well as through experimental studies. Research groups affiliated with the center use a variety of approaches and methods involving molecular and cellular biology, animal research, and data processing techniques to better understand diseases. The various research themes include, among others, metabolism, inflammation, and the immune system, in relation to cancer and other diseases such as cardiovascular diseases and ME/CFS.

Research area leader

Karl Johan Tronstad, Professor, leader of The Cell Metabolism group, Faculty of Medicine, University of Bergen

Researchers affiliated with Driv and their research

Researchers affiliated with Driv study a variety of topics within biomedical research. Here, you can get to know the different areas and find information about research projects, research groups, and other initiatives related to the field.

Myalgic encephalomyelitis/chronic fatigue syndrome (ME/CFS)

Contact person: Karl Johan Tronstad  

The research group is based at the Department of Biomedicine (IBM) at the University of Bergen. They conduct biomedical laboratory studies and advanced analyses of patient samples to investigate molecular and cellular disease mechanisms. A key focus is the critical role of energy metabolism in maintaining cellular health.

An important area of research for the group is myalgic encephalomyelitis/chronic fatigue syndrome (ME/CFS). This debilitating condition disproportionately affects women compared to men. The underlying disease mechanism remains unknown, and there are currently no biomarkers or effective treatments.

The group collaborates closely with the research team led by Øystein Fluge and Olav Mella at the Cancer Department of Haukeland University Hospital, which conducts clinical trials aimed at finding treatments for ME.

Link Between ME and Infections

ME often develops as a long-term consequence of an infectious illness. Several types of infections have been associated with ME, including mononucleosis and COVID-19. One prominent theory suggests that such infections cause a persistent immune system dysfunction, which subsequently impacts various organs and systems in the body.

There are parallels with other chronic diseases driven by similar mechanisms, many of which also predominantly affect women. It is plausible that gender differences in the immune system and/or energy metabolism could explain why 70-80% of ME patients are women.

The group’s objective is to gain a deeper understanding of the mechanisms underlying ME. This knowledge could pave the way for the development of biomarkers and treatments for the condition.

Sjögren's disease

Contact person: Silke Appel

In the laboratory, we have studied how to influence certain immune cells, known as dendritic cells, to suppress diseased blood cells. This could represent a potential new treatment method for Sjögren’s syndrome. Many of our studies have focused on analyzing salivary gland biopsies, which are crucial both for diagnosing Sjögren’s disease and classifying patients.

Dendrittiske celler, Sjögren
Photo: Silke Appel, UiB

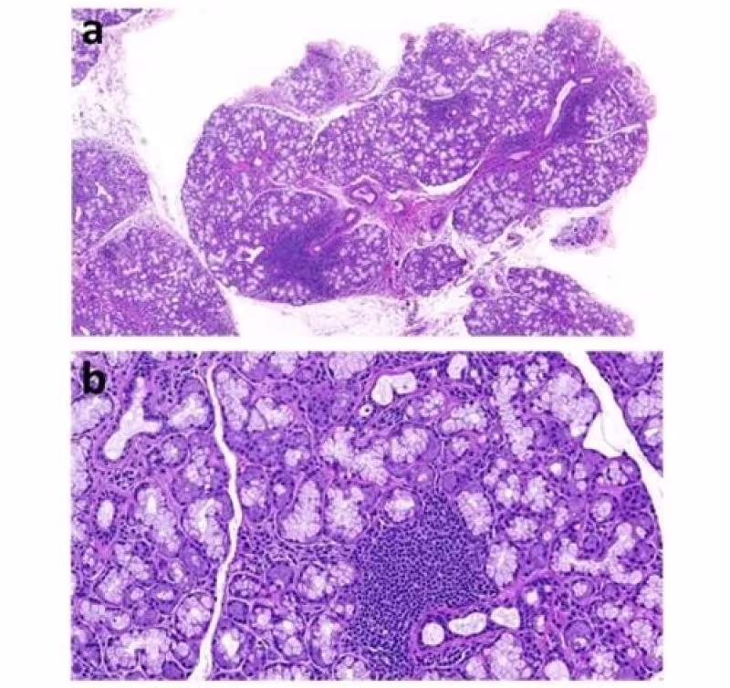
Pronounced inflammation in the salivary glands has been shown to correlate with a more active disease type. The first study describing the local production of autoantibodies in the salivary glands was conducted in Bergen. Later, we examined fat tissue in the salivary glands and demonstrated that it can influence local inflammation.

In approximately one-quarter of all patients with Sjögren’s disease, there is an organization of inflammatory cells in the salivary glands. When we linked this to a specific subgroup of Sjögren’s patients, we found an association with an increased risk of lymphoma, one of the more serious consequences of Sjögren’s disease. These patients are now monitored with more frequent clinical check-ups to detect lymphoma as early as possible and initiate tailored treatment.

Betennelse i spyttkjertlene, Sjögren
Photo: Silke Appel, UiB

In collaboration with groups in France, Sweden, and Italy, we have explored salivary gland ultrasound. This imaging technique is now used in clinical practice as an aid in diagnosis and to monitor inflammatory changes in the salivary glands over time without requiring new tissue biopsies.

Ultralyd bukspytt, Sjögren
Photo: Silke Appel, UiB

Over the past 30 years, we have made significant discoveries by utilizing blood, saliva, and tissue from our patients. This has inspired us to follow patients over many years, including with pancreatic ultrasound. We have extensive collaborations within Norway, Scandinavia, Europe, and globally, particularly in the USA. Together, we have made numerous important findings that will contribute to future targeted treatments for the disease.

Our research has received funding from Broegelmann's Legacy, Helse Vest, the Norwegian Research Council, the European Union (EU), Trond Mohn, and other contributors. In 2015, the Sjögren research community in Bergen organized the International Sjögren’s Congress, bringing together approximately 300 Sjögren’s researchers from around the world.

Thank you to all who, through participation in our research projects, have helped contribute to new knowledge about Sjögren’s syndrome!

  • Silke Appel
  • Kathrine Skarstein
  • Malin Jonsson
  • Daniel Hammenfors
  • Roland Jonsson
  • Johan G. Brun
Last updated: 18.08.2025